Hay estudios que sugieren que las bacterias causantes de la enfermedad periodontal pueden trasmitirse a través de la saliva, y en pacientes que tengan una predisposición genética a ello, pueden padecerla.
Periodoncia
Periodoncia
La Periodoncia es la rama de la Odontología que trata las enfermedades de las encías y del hueso que sostiene los dientes. ¿Qué tipos de enfermedad La periodoncia es una especialidad odontológica dedicada a la prevención, diagnóstico y tratamiento de las enfermedades de las encías y los tejidos de soporte de los dientes. La enfermedad periodontal es muy común y está causada por las bacterias de la placa bacteriana que habitan en nuestra boca.
Diferencia entre
gingivitis y periodontitis
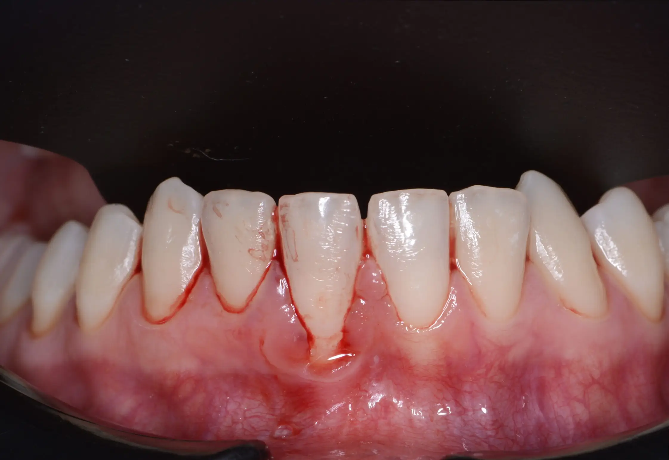
La gingivitis consiste en una infección situada debajo de la encía, generalmente indolora, que inflama la encía y hace que sangre fácilmente. Si no se trata, en algunos individuos progresa a periodontitis.
La periodontitis, antiguamente llamada piorrea, destruye el hueso y el ligamento que soporta los dientes, provocando movilidad y separación de los dientes y, si no se trata, pérdida de los mismos. Las enfermedades periodontales se pueden prevenir o, en su defecto, tratar con gran éxito, pudiendo así conservar los dientes toda nuestra vida.
Las bacterias por si mismas no son capaces de provocar las consecuencias de estas enfermedades, sino que necesitan de un individuo susceptible (predisposición genética) y un medio ambiente adecuado. El tabaco, la diabetes o el estrés son factores de alto riesgo en la colonización de estas bacterias.
En su inicio esta enfermedad pasa desapercibida. Los pacientes pueden tener enrojecimiento e hinchazón de la encía, sangrado de las encías al cepillarse los dientes o de un modo espontáneo, mal sabor en la boca y mal aliento, sensibilidad al frío, retracción gingival, movilidad de los dientes y flemones en las encías, sin supuración.
Tratamiento de la enfermedad periodontal
Algunos pacientes evolucionan de modo muy rápido y otros lo hacen lentamente. Los de evolución rápida acostumbran a ser jóvenes y pueden perder sus dientes en 5 años. En otros casos la evolución puede ser más lenta, pero si no se tratan adecuadamente también pueden llegar a perder sus dientes.
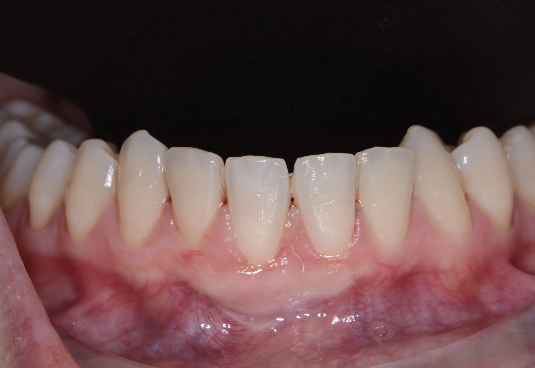
El mejor tratamiento es la prevención. Un cepillado correcto de los dientes después de cada comida, higienes bucales y revisiones periódicas con el dentista evitarán la enfermedad.
Si ésta aparece, hay que tratarla lo más temprano posible. El objetivo del tratamiento es eliminar la infección que origina la enfermedad mediante la eliminación de la placa bacteriana y del sarro con curetajes, e higienes profundas y en los casos más avanzados cirugías.
Una vez controlada la infección, el proceso destructivo del hueso se detiene, pudiendo conservar los dientes y los tejidos periodontales sanos. Dependiendo de la cantidad de hueso de soporte destruido, los dientes, una vez tratados, tendrán mejor o peor pronóstico. Por ello es vital un tratamiento precoz.


Cirugía Mucogingival
En nuestra clínica realizamos todo tipo de cirugía mucogingival, un conjunto de procedimientos periodontales enfocados en corregir y mejorar la forma, posición y salud de los tejidos blandos que rodean los dientes e implantes.
Este tipo de tratamientos no solo tienen un objetivo funcional —proteger la encía y prevenir futuras retracciones—, sino también un componente estético muy importante, ya que permiten armonizar la sonrisa y mejorar su apariencia.
La cirugía mucogingival es un tratamiento minucioso y altamente especializado, que realizamos bajo anestesia local y con técnicas mínimamente invasivas para favorecer una recuperación rápida y confortable.
Nuestro objetivo es lograr encías sanas, estables y estéticamente armónicas, garantizando la longevidad de los dientes e implantes y una sonrisa más natural.
Principales tratamientos mucogingivales que realizamos
Preguntas frecuentes sobre periodoncia y periodontitis
¿Qué es la enfermedad periodontal?
La periodoncia engloba la ciencia que estudia las patologías del periodonto, es decir, el tejido que sostiene el diente.
Las enfermedades periodontales son patologías infecciosas causadas por bacterias y, cuando las encías se inflaman y se tornan enrojecidas, como consecuencia de una mala higiene oral debido al ataque de esas bacterias, ocurre un proceso reversible denominado gingivitis.
Cuando esta inflamación es crónica y además es concomitante con otros factores, como el tabaco o la diabetes, puede producirse una pérdida progresiva del hueso alveolar irreversible que denominamos periodontitis. Ésta tiene una predisposición genética importante, por lo que hay que tener siempre en cuenta los antecedentes en la familia del paciente.
Debido a esta pérdida de hueso, se forma una bolsa alrededor del diente, ya que la encía se mantiene y el hueso se pierde. Esta bolsa se convierte en un reservorio de comida importante, por lo que es necesario una higiene más exhaustiva, además de las frecuentes visitas al profesional para hacer los mantenimientos de la zona.
¿Cuál es el origen de la enfermedad periodontal?
La enfermedad periodontal tiene una predisposición genética importante, y esto no se puede modificar. Si bien, hay factores que lo agravan y sí se pueden evitar (tabaco, mala higiene oral, etc.). Si un paciente tiene antecedentes de enfermedad periodontal, es importante que acuda a sus revisiones odontológicas a menudo para que lo detectemos a tiempo y tomemos las medidas pertinentes.
¿Cuál es el tratamiento de la enfermedad periodontal?
El tratamiento periodontal consiste en el raspado y alisado de la superficie radicular. Para el diagnóstico de la enfermedad periodontal, hacemos una serie radiográfica, además de un sondaje selectivo de cada zona del diente en el que medimos la distancia desde el borde gingival hasta el hueso alveolar circundante a la pieza, para evaluar la pérdida de hueso individualizada de cada zona.
La distancia fisiológica desde el borde gingival hasta el hueso es de 2-3mm. Cuando esta distancia es superior, hablamos de enfermedad periodontal. Como es lógico pensar, a mayor distancia, mayor gravedad de la enfermedad.
Así pues, el tratamiento periodontal consta de dos fases:
- 1º Fase: Consiste en limpiar y alisar exhaustivamente la superficie de la pieza adyacente a la bolsa que se forma, tanto para eliminar la placa de su interior como para evitar su fácil adhesión posterior. Éste se realiza por cuadrantes (dividimos la boca en 4 partes) y con anestesia local, es decir, en cada cita se realizará un cuadrante. Tras el tratamiento, se deja la bolsa totalmente limpia y la superficie de la pieza alisada, lo cual disminuye la acumulación de comida por haber eliminado la retención.
- 2º Fase: Es lo que denominamos tratamiento quirúrgico. No siempre es necesario (sólo en casos más graves). Tras la primera fase del tratamiento se hace una reevaluación al mes y comprobamos si ha habido mejoría, o si por lo contrario todo se mantiene igual. Si éste es el caso, el paciente tendrá que ser sometido al tratamiento quirúrgico, el cual consiste en elevar y despegar levemente sus encías tanto por vestibular y palatino de la zona a tratar, limpiamos y desinfectamos profusamente la zona y posteriormente suturamos recolocando los colgajos.
¿Tengo que tener algún cuidado especial?
Durante el post operatorio se aconseja que los primeros días no se cepillen bruscamente por la zona donde hay suturas, y que no escupan ni se enjuaguen bruscamente durante las primeras 24h.
La enfermedad periodontal tiene la peculiaridad de que el paciente que la padece necesita un mantenimiento para evitar una pérdida de hueso adicional, que ya ha sido tratado y detenido. Es fundamental revisiones de un máximo de seis meses, en las que el paciente acude a nuestra consulta para realizarse sus mantenimientos periodontales. Es necesario individualizar cada caso, ya que no todos los pacientes periodontales tienen la misma gravedad de su enfermedad.
Normalmente, los pacientes que se someten a tratamiento periodontal suelen referir que sus dientes tienen un aspecto más largo. Esto es debido a que cuando las encías están sanas se retraen (suben) hacia una posición más cercana al hueso de soporte, ya que el fin del tratamiento es disminuir esta bolsa y mantener una buena salud periodontal.
Esta condición también le facilita al paciente su higiene. Recomendamos siempre el uso del cepillo eléctrico, seda dental, así como de los cepillos interproximales.

