Casos reales
Estética
Miguel es paciente periodontal en fase de mantenimientos totalmente controlado; pero nos demandó estética y le planteamos cerrar el diastema (espacio) anterior entre incisivos mediante carillas de cerámica. Nos encanta la naturalidad de este trabajo.
Clara es paciente desde hace más de 25 años y en una de sus revisiones nos planteó mejorar su estética debido a que en su infancia habría sufrido un traumatismo y tenía los dientes anteriores de diferentes formas y colores.
Le planteamos realizarse carillas estéticas de cerámica de mínima invasión y el resultado es espectacular; igualando forma y tamaño y mejorando la armonía de su sonrisa.
Pilar ha sido una paciente que hemos tratado de pequeñita resolviendo problema óseo sagital de clase II mediante avance mandibular; posteriormente tratamiento multibrackets para terminar el caso y terminar de asentar la mordida.
Finalmente, debido a la discrepancia de tamaño dentario, realizamos carillas estéticas de composite, mejorando la forma y el tamaño de sus dientes y como consecuencia la armonía de su sonrisa.
Mauro fue paciente de ortodoncia al que le realizamos tratamiento multibrackets de autoligado Damon; y posteriormente; como detallado final; debido a que tenía los incisivos laterales conoides y una discrepancia de forma y de tamaño en general de sus incisivos; realizamos carillas de composite para mejorar la forma de los mismos y como consecuencia mejorar la armonía de su sonrisa.
Carmen es paciente desde hace más de 20 años que hace unos meses nos demadó mejorar su estética.
Para ello realizamos previamente un tratamiento de ortodoncia invisible para alinear y organizar espacios de las ausencias. Posteriormente, rehabilitamos con las ausencias mediante implantes dentales; y finalmente, como detallado final para mejorar la forma y el color de sus dientes le realizamos carillas de cerámica.
El resultado es espectacular mejorando la naturalidad y armonía de su sonrisa.
Juan Antonio llegó a nuestra consulta con un historial de enfermedad periodontal y necesidades dentales complejas.
Después de un tratamiento exhaustivo que incluyó saneamiento general, cambiando puentes filtrados, realizando obturaciones, endodoncia y rehabilitación con implantes en la zona de las ausencias; sumamos la mejora estética con carillas de cerámica para finalizar su sonrisa perfecta.
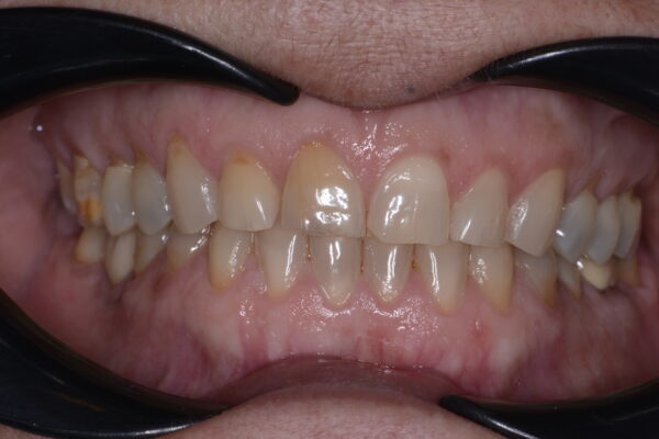
Ángeles llegó con una prótesis removible superior y carillas de composite que, con el tiempo, estaban filtradas por caries. Su sonrisa necesitaba un cambio, no solo estético, sino también funcional.
- Planificamos una rehabilitación posterosuperior con prótesis fija implantosoportada, devolviendo estabilidad y comodidad.
- Reemplazamos sus carillas de composite por carillas de cerámica, logrando un resultado más natural, estético y duradero.
Cirugía mucogingival
Paciente con sonrisa gingival (exposición de mucha encía al sonreír) a la que le realizamos cirugía estética de encías mediante un alargamiento coronario. Un par de meses después previo a su boda también le realizamos blanqueamiento dental.
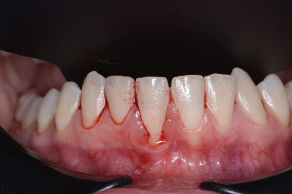
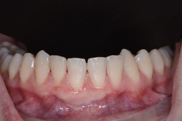
Paciente con gran recesión gingival (retracción de encías) en incisivos inferiores que le generaba mucha sensibilidad.
Le realizamos una cirugía de injerto de encías y el resultado es espectacular, con gran pronóstico a largo plazo mejorando la calidad de encía y remitiendo su sensibilidad por completo.
Ortodoncia
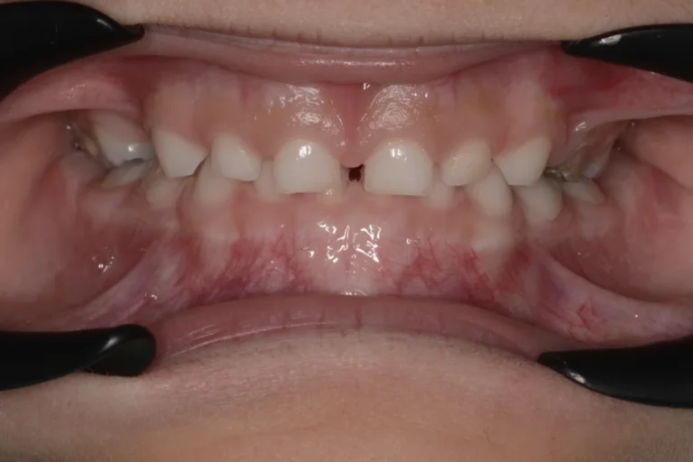
Manuel, de 5 años, llegó a nuestra clínica con sobremordida completa, lo que impedía que su mandíbula se moviera con libertad y afectaba su capacidad para masticar correctamente.
🦷 Con un tratamiento de ortodoncia interceptiva, en solo 3 MESES conseguimos liberar su mandíbula y mejorar su mordida.
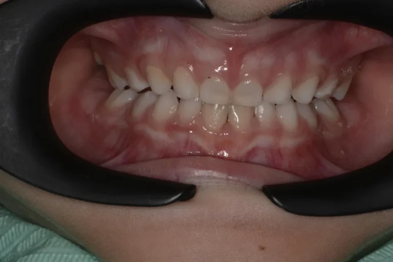
Alejandra de 5 años de edad, acudió a nuestra consulta con una mordida profunda que dificultaba el movimiento y el crecimiento natural de su mandíbula.
🦷 Realizamos ortodoncia interceptiva mediante pistas de composite y, en solo 2 MESES conseguimos equilibrar su mordida y liberar su función mandibular, permitiendo que su desarrollo continúe de forma correcta.
Daniela presenta una clase II ósea; o lo que es lo mismo, un problema sagital donde la mandíbula está posicionada en una posición más retrognática que el maxilar superior.
Para ello; hicimos un tratamiento de ortopedia en máximo pico de crecimiento el cual consistió en un avance mandibular; lo cual mejoró significamentr su perfil y oclusión (mordida).
Posteriormente, fue tratado en un segunda fase mediante tratamiento multibrackets de autoligado Damon para terminar de asentar la mordida y acabar el caso.
Jonathon acudió a nuestra consulta queriendo mejorar la estética de su sonrisa; para ellos realizamos ortodoncia invisible mediante alineadores y posteriormente hicimos un detallado final mediante contorneado dentario para mejorar la forma de los dientes y como consecuencia mejorando la armonía de su sonrisa.
Jesús acudió a nuestra clínica por gran apiñamiento dentario que fue corregido de manera exitosa mediante tratamiento multibrackets de autoligado Damon.
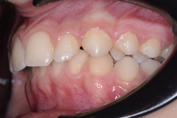
Aurora tenía un problema óseo transversal; donde la arcada superior era más estrecha que la arcada inferior, provocando como consecuencia una mordida cruzada que le impedía una correcta oclusion y que además también le afectaba a nivel estética facial; pues desviaba el mentón hacia un lado.
El tratamiento fue de un disyuntor palatino rápido además de máscara facial para corregir el problema transversal y sagital de clase III (déficit de crecimiento sagital del maxilar).
Rafa presenta una clase II ósea; o lo que es lo mismo, un problema sagital donde la mandíbula está posicionada en una posición más retrognática que el maxilar superior.
Para ello, hicimos un tratamiento de ortopedia en máximo pico de crecimiento el cual consistió en un avance mandibular; lo cual mejoró significamentr su perfil y oclusión (mordida).
Posteriormente, fue tratado en un segunda fase mediante tratamiento multibrackets de autoligado Damon para terminar de asentar la mordida y acabar el caso.
Cirugía y rehabilitación oral
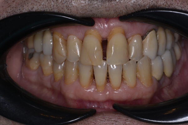
Nuestro paciente llegó con piezas en muy mal estado y numerosos restos radiculares con quistes.
Tras limpiar y sanear completamente la zona, realizamos una rehabilitación integral:
🦷 Implantes en la arcada superior y en la inferior posterior.
🦷 Reconstrucciones en la arcada anterior inferior.
🦷 Coronas y carillas de cerámica para devolver estética y funcionalidad.
El resultado: una boca totalmente rehabilitada y una paciente feliz con su nueva sonrisa.
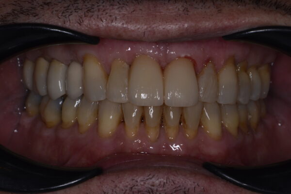
Virginia es paciente apretadora con gran hábito de bruxismo que había sufrido pérdida de tamaño de sus dientes debido a este hábito.
Le realizamos un tratamiento de rehabilitación completo mediante incrustaciones, coronas sobre implantes y carillas de cerámica para devolverle la estética y función que había perdido.
El resultado nos encanta y ella adora su naturalidad.
Marina es paciente desde hace más de 20 años que llevaba un puente en el sector anterior superior desde hace muchísimos años con pilares en caninos, y al estar tantísimos años sin piezas anteriores el hueso del maxilar estaba totalmente reabsorbido. En una de sus revisiones, este trabajo de tantos años ya le había fracasado y estaba totalmente filtrado e insalvable. Le planteamos la misma opción pero con un puente sobre implantes y mantener ese volumen del labio y perfil mediante un buen manejo protesico.
El resultado nos encanta y es una solución conservadora que ella nos demandaba.
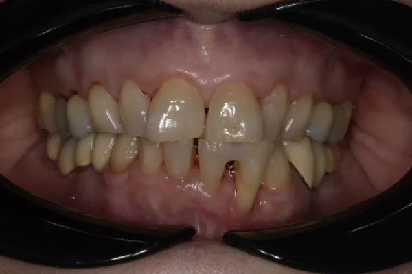
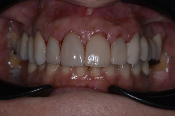
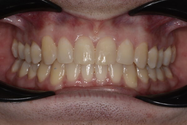
Soledad acudió a nuestra consulta demandándonos arreglar su boca completa debido a que se había dejado por problemas de salud.
Le realizamos un tratamiento de rehabilitación superior mediante implantes; y en la arcada inferior coronas de circonio y carillas de composite inyectado.
Ácido hialurónico
Ácido Hialurónico: Caso de hidratación de labios y relleno sutil con perfilado.
Caso de hidratación de labios y relleno de surcos nasogenianos y líneas marioneta.
Contacta con nosotros o visítanos y te daremos toda la información que necesites.

